Se seu sorriso virou motivo de incômodo, é hora da transformação.
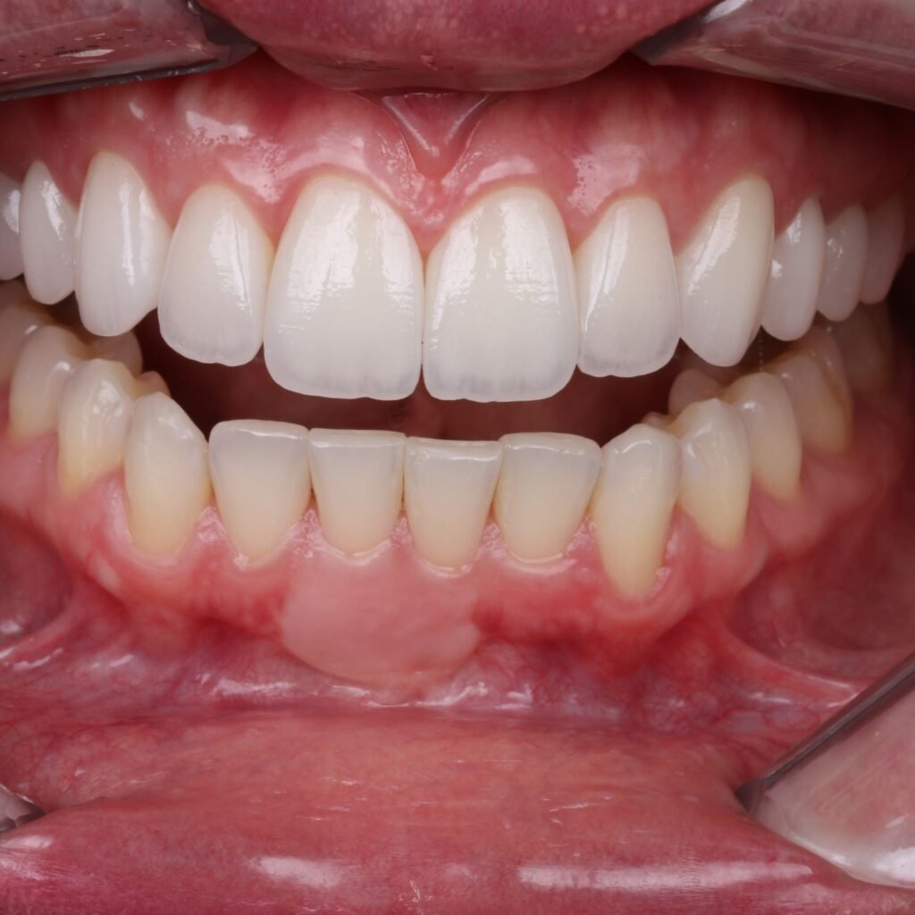
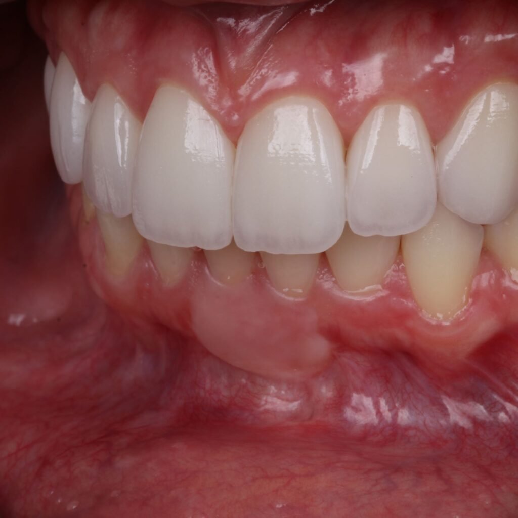
As facetas são lâminas ultrafinas de porcelana ou resina aplicadas sobre os dentes para corrigir imperfeições estéticas. Esse procedimento é ideal para quem deseja transformar o sorriso, corrigindo manchas, espaçamentos e pequenas irregularidades no formato dental. O processo é minimamente invasivo, proporcionando um resultado natural e harmônico. Com alta durabilidade e resistência, as facetas são uma excelente opção para quem busca um sorriso alinhado, branco e com aparência saudável.









Cada detalhe do nosso espaço foi pensado para oferecer conforto e bem-estar. Em um ambiente moderno e acolhedor, você será recebido com toda a tranquilidade e sofisticação que merece, tornando sua experiência odontológica ainda mais agradável.




Sou apaixonado por transformar vidas através do sorriso. Acredito que a Odontologia vai muito além da estética. Ela resgata a autoconfiança e a identidade de cada pessoa. Restaurar um sorriso não é apenas devolver dentes, mas permitir que alguém se reconheça novamente, se sinta digno e confiante.
Para mim, o sorriso é a ponte que conecta pessoas, tornando visíveis sentimentos como alegria, coragem e confiança. Cada transformação que realizo me desafia a evoluir, reafirmando meu propósito de proporcionar mais do que um sorriso bonito, mas uma nova forma de enxergar a vida com plenitude e autenticidade.
A lente de contato dental é uma lâmina ultrafina de porcelana, indicada para pequenas correções estéticas, sem desgaste significativo do dente.
Já a faceta é levemente mais espessa e pode ser feita em porcelana ou resina, permitindo corrigir alterações maiores de cor, forma e alinhamento. Ambas são personalizadas para harmonizar com seu rosto e sorriso.
Quando realizadas por um especialista, o preparo é mínimo e totalmente controlado.
Nos casos em que é necessário algum desgaste, ele é planejado para preservar ao máximo a estrutura natural, garantindo estética e saúde bucal no longo prazo.
A resina tem menor custo inicial e permite reparos diretos no consultório, porém pode perder brilho com o tempo.
A porcelana oferece maior resistência, estabilidade de cor e durabilidade de 10 a 15 anos, sendo a escolha preferida para quem busca um resultado mais duradouro e sofisticado.
Não. O design é personalizado com base em estudos fotográficos e digitais do seu rosto.
O objetivo é criar um sorriso natural, proporcional e integrado à sua expressão, evitando aquele aspecto “padronizado” que muitos temem.
Sim. Você poderá manter seus hábitos alimentares normalmente, apenas evitando abrir embalagens ou morder objetos duros com os dentes.
A resistência das porcelanas modernas é muito próxima à do esmalte natural.
Para quem valoriza imagem pessoal, confiança e estética, lentes e facetas são um investimento de longo prazo.
Além de transformar o sorriso, trazem ganhos na autoestima, segurança em interações sociais e impacto positivo na vida profissional.
Cuide do seu sorriso! Agende agora mesmo uma consulta e receba o atendimento que você merece.
Horário de funcionamento
Segunda a sexta – 08:00 às 18:00
Sábado – 08:00 às 12:00
Domingo – Fechado
Todos os direitos reservados © 2025 | Desenvolvido por WebXP